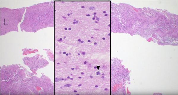
Giant Cell Glioblastoma, also called magnocellular or monstrocellular glioblastoma, is characterized by atypical cells that are extremely large, especially when compared to the non-neoplastic inflammatory cells seen on the left side of the image. The tumor has increased number of dividing cells, including typical mitotic figures (bottom left arrow) and atypical or granular mitoses (bottom... Continue Reading →
Video: Glioblastoma IDH Wildtype Histopathological Diagnosis
https://youtu.be/iQ1Be_0IpJM Follow us on Facebook, Instagram, and YouTube: Adventures in Neuropathology
Video: Glioblastoma Histopathologic Diagnosis
A review of the histopathologic diagnosis of the most common primary malignant brain tumor: glioblastoma. https://www.youtube.com/watch?v=3KD6wnMR6Lg&t=74s
Glioblastoma with Ring Enhancement (MRI)
This middle aged patient had a heterogeneous lesion with multiple irregular rings of enhancement following contrast administration. Biopsy revealed glioblastoma with microvascular proliferation and necrosis, both of which contain leaky blood vessels that contribute to contrast enhancement on imaging.
MRI of Glioblastoma with Subfalcine Herniation
This elderly patient complaining of headache was diagnosed with glioblastoma following biopsy of the heterogeneous, ring-enhancing lesion in the right temporal lobe. Mass effect caused by the space-occupying tumor has pushed the ipsilateral cingulate gyrus under the falx cerebri, resulting in a subfalcine herniation.
