This video is part of a multi-part series reviewing new changes incorporated into the new 5th edition of the WHO classification of tumors of the central nervous system. This video utilizes a case-based format to review important changes in the classification of ependymomas. https://youtu.be/lMVTvFrisbw
Video: IDH – Mutant Astrocytoma: Update from the 5th Edition WHO Classification of CNS Tumors
This video is part of a multi-part series reviewing new changes incorporated into the new 5th edition of the WHO classification of tumors of the central nervous system. This video utilizes a case-based format to review important changes in the classification of IDH-mutant and IDH-wildtype diffuse gliomas. https://youtu.be/cfPaeNb04Z8
IDH – Wildtype Astrocytoma: A case-based illustration of updates from the 5th Edition WHO Classification of CNS Tumors
This video is part of a multi-part series reviewing new changes incorporated into the new 5th edition of the WHO classification of tumors of the central nervous system. This video utilizes a case-based format to review important changes in the classification of IDH-mutant and IDH-wildtype diffuse gliomas. https://youtu.be/rskXkeY6DN0
Video: Bugs in the Brain – HIV and Toxoplasmosis
HIV-induced compromise of the immune system leaves afflicted persons vulnerable to a wide variety of infections. In this video, we discuss the neuroradiology and pathologic findings of an HIV+ patient with a brain infection caused by the protozoan parasite: Toxoplasma gondii. https://youtu.be/9mBmgNLz13o
Video: Radiation and Brain Tumors Part 3 – Brain Tumors and Outer Space, featuring Dr Sandeep Burma
Part 3 of a three-part series reviewing the effects of radiation on the brain. Join in on this grand finale as we review brain tumor development in a pilot who had logged many hours flying aircraft at high altitudes. High altitude pilots at the edge of the Earth's protective atmospheric shield, and astronauts just beyond it,... Continue Reading →
Video: Radiation and Brain Tumors, Part 2 – Cured of One Cancer Only to Develop Another
Part 2 of a three-part series reviewing the effects of radiation on the brain. Radiation is commonly used to treat a wide variety of neoplastic conditions and often has great success, but sometimes the treatment can cause additional problems.  Join me on a narrated tour of radiation’s dark side in this review of radiation-induced brain... Continue Reading →
Video: COVID-19 Autopsy Pathology Findings
COVID-19 autopsy case: a clinicopathologic report and narrated review of lung, heart, and other autopsy pathology findings in a previously healthy woman, including discussion of discordant cardiac findings in this patient with clinical suspicion of viral myocarditis. https://youtu.be/LV7SFxapsRE
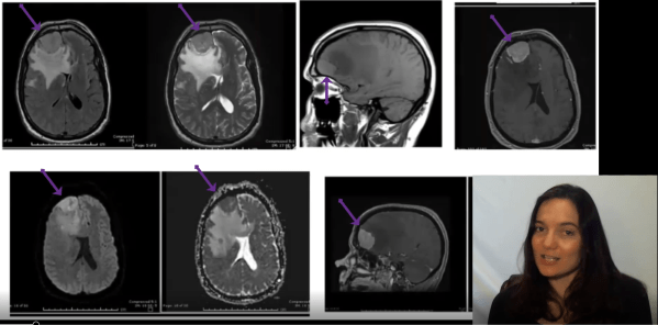
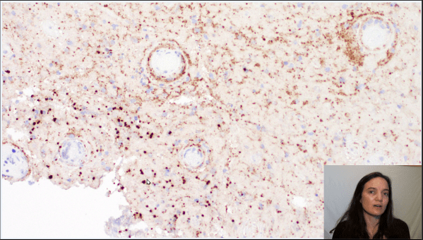
Video: Breast Cancer Metastasis to Brain
Join me for a narrated pathology review of breast cancer (ductal adenocarcinoma) metastatic to brain. https://youtu.be/EkRq-Vs5WoU
Video: Normal Neuro Anatomy: Coronal Section of the Brain Through the Anterior Commissure
Take an anatomy tour through a coronal section of the normal brain at the level of the anterior commisure. Join me as I review the major neuroanatomical structures of the normal brain, touching on structures that are important to normal functioning and also key players in certain disease processes. https://youtu.be/lwF0AySb0c0
Cerebral Vascular Territories
The cerebral hemispheres are supplied with blood via three major arteries: the anterior, middle, and posterior cerebral arteries.  This coronal section through the frontal lobes shows hemorrhage involving the vascular territory of which of these three major cerebral arteries? Answer: The cerebral hemispheres are supplied with blood via three major arteries: the anterior, middle, and posterior... Continue Reading →
