The microscopic appearance of ependymomas is dominated by the presence of radially-arranged tumor cells forming rosettes (black arrows), which are named for their resemblance to the flower-like architecture of rose windows in gothic cathedrals. The perivascular pseudorosette, characterized by tumor cells radially arranged around a central vessel, is more common by far, but it is not specific to... Continue Reading →
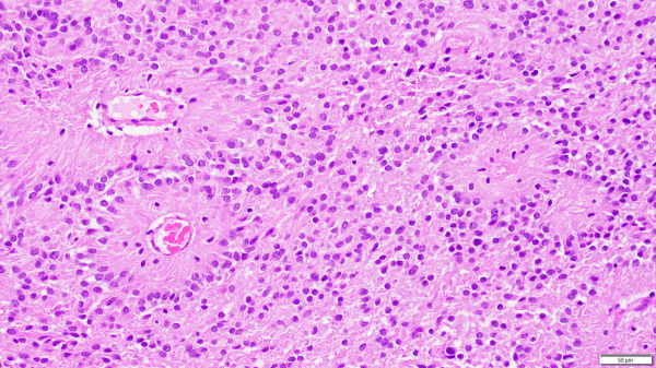
Leptomeningitis and Perivascular Spread
Many blood vessels that supply the brain and spinal cord initially run within the covering layers on the external surface, called the leptomeninges (also known as the pia-arachnoid), before plunging into the deeper neural tissue. As the vessel transitions from the outer layers into deeper tissue, the perivascular space immediately surrounding the vessel, called Virchow-Robin space, may provide a conduit for infectious/inflammatory processes. ... Continue Reading →
Video: Ependymomas explained.
Ependymomas are glial tumors that commonly harbor perivascular pseudo-rosettes, seen here, characterized by radially arranged tumor cells around a blood vessel core. https://youtu.be/UXDIYV_yMro
