Part 2 of a three-part series reviewing the effects of radiation on the brain. Radiation is commonly used to treat a wide variety of neoplastic conditions and often has great success, but sometimes the treatment can cause additional problems. Join me on a narrated tour of radiation’s dark side in this review of radiation-induced brain... Continue Reading →
Video: Radiation and Brain Tumors, Part 1 – Radiation Necrosis and Brain Metastasis
Part 1 of a three-part series reviewing the effects of radiation on the brain. Radiation is commonly used to treat a wide variety of neoplastic conditions and often has great success, but sometimes the treatment can cause additional problems. Join me on a narrated tour of radiation’s dark side in this review of radiation necrosis... Continue Reading →
Video: Breast Cancer Metastasis to Brain
Join me for a narrated pathology review of breast cancer (ductal adenocarcinoma) metastatic to brain. https://youtu.be/EkRq-Vs5WoU
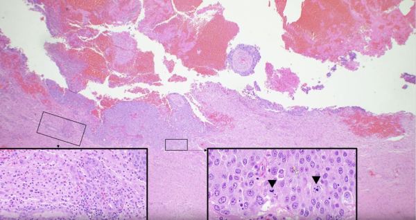
Dura Metastasis: Hepatocellular Carcinoma
The most common tumors found in the central nervous system and dura (i.e. the dense fibrous covering that envelops the brain) are those that have traveled from other body sites in a process called metastasis. Depicted here is hepatocellular carcinoma (HCC), a cancer of liver cells, that has metastasized to the dura overlying the anterior pole of the right frontal lobe. Microscopically, the neoplastic liver... Continue Reading →
Malignant Meningitis
The brain is surrounded by several layers of protective coverings collectively called meninges. The semi-translucent innermost layers, called the leptomeninges, form a "shrink-wrap" around the brain that allows for easy flow of cerebrospinal fluid (CSF) along the outer surface of central nervous system structures. Unfortunately, it also allows for easy spread of neoplastic cells. The image shows the inferior aspect... Continue Reading →
Renal Cell Carcinoma Embolized with PVA
Renal cell carcinoma, a relatively common cancer of the kidney, is a highly vascular lesion that will typically bleed extensively during surgery. Just prior to surgery this renal cell carcinoma that had metastasized to the paraspinal soft tissue was embolized using PVA (polyvinyl alcohol), the blue foreign embolic material within the vessel lumen. This process of embolization was... Continue Reading →
Metastatic Cancers
Metastatic cancers (i.e. cancers that originate somewhere else and travel to the brain usually via the bloodstream) can occur singly or, as pictured here, as multiple lesions. Sometimes brain metastases represent the initial clue that the person has cancer somewhere else in the body, as was the case for this patient who was found to have three enhancing cerebral lesions... Continue Reading →
Video: Carcinoma Metastasis to Brain
https://youtu.be/CHU-464bph8 Review of the histopathologic cancer diagnosis of a carcinoma metastasized to the brain.
