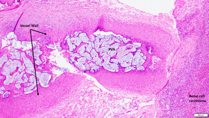
Renal cell carcinoma, a relatively common cancer of the kidney, is a highly vascular lesion that will typically bleed extensively during surgery. Just prior to surgery this renal cell carcinoma that had metastasized to the paraspinal soft tissue was embolized using PVA (polyvinyl alcohol), the blue foreign embolic material within the vessel lumen. This process of embolization was done by a physician who inserted a catheter into vessels in the groin, threaded the catheter through the vasculature, and inserted the material into the vessel lumen near the tumor in order to block blood flow to the cancer and decrease the risk of hemorrhage during surgical resection of the tumor.


Leave a comment