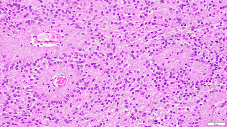
Ependymomas are glial tumors that commonly harbor perivascular pseudo-rosettes, seen here, characterized by radially arranged tumor cells around a blood vessel core. To learn more about these WHO grade 2 tumors, visit Video: Ependymomas explained.for a narrated video.

Leave a comment