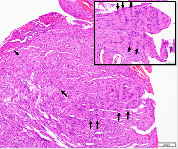
Schwannomas are peripheral nerve sheath tumors that arise from cells that myelinate peripheral nerve axons called Schwann cells. A classic histologic finding in schwannomas are Verocay bodies (arrows), which consist of short palisades of tumor cell nuclei separated by eosinophilic anucleate bands of tumor cell processes. Verocay bodies are often more prominent in schwannomas that arise in the setting of a familial tumor syndrome, such as Schwannomatosis. Though considered a classic histologic finding, Verocay bodies are not required to make a diagnosis of Schwannoma.

For further study on this topic and others related to neuropathology and neuroanatomy, the following books come highly recommended, and a small portion of the proceeds (or any Amazon purchase through these links) help with expenses of hosting this site:

Leave a comment