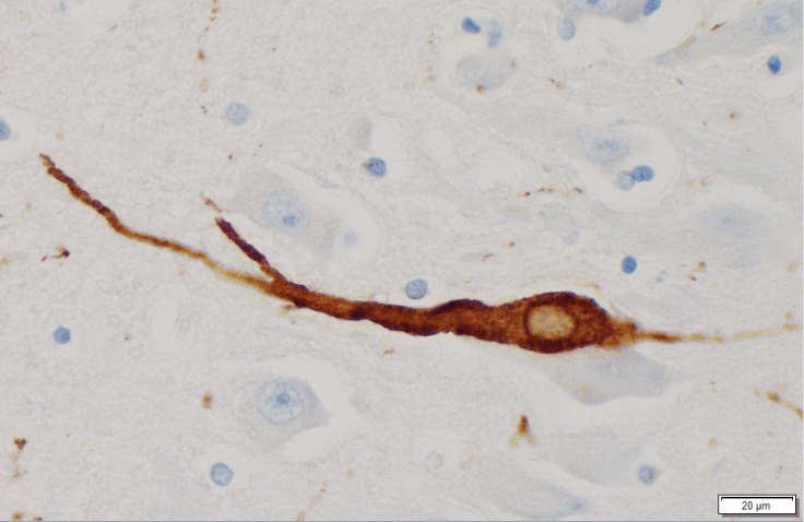
Neurofibrillary tangles, like the one shown here, are composed of hyperphosphorylated tau proteins. Intracellular neurofibrillary tangles and extracellular amyloid plaques comprise the two characteristic neuropathologic findings of Alzheimer Disease, the most common neurodegenerative disease associated with progressive memory loss. This image was taken from an area of the brain that is often affected in Alzheimer Disease: the hippocampus, which is a cerebral structure involved in forming new memories.


Leave a comment