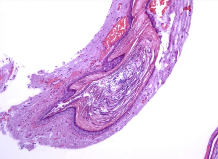
Epidermoid cysts (pictured here with surrounding brain tissue) are histologically characterized by a thin layer of squamous epithelium similar to the epidermal lining the skin. However, unlike skin (which sheds its outer layer of dead cells into the environment), the keratin debris of the sloughed-off upper layer of the epidermoid cyst build up within the cyst center resulting in progressive growth in overall size. If the cyst ruptures it may spill the dead keratinous debris causing a potentially life-threatening chemical meningitis and/or meningoencephalitis.


Leave a comment