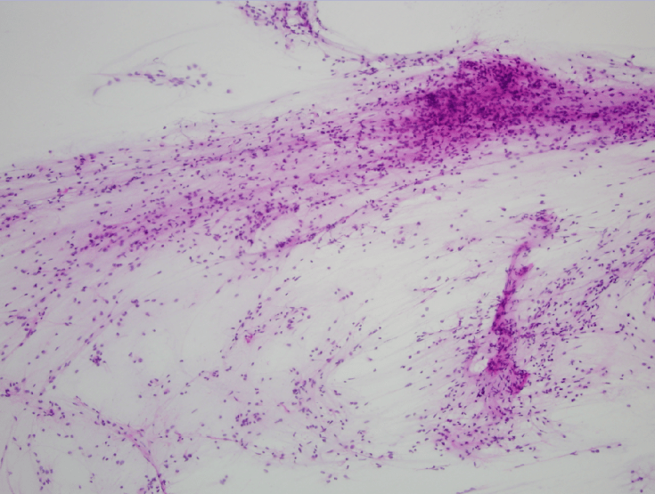
Pilocytic astrocytoma is a circumscribed glioma (WHO Grade I) commonly found in children and young adults. Characteristic features include piloid cells with long, thin, hair-like cytoplasmic processes and a myxoid background, which are both seen here in this medium power image of a cytologic smear preparation performed during intraoperative consultation.


Leave a comment