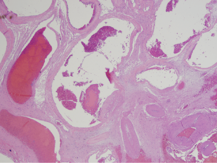
Arteriovenous malformation, or AVM, is a collection of abnormal vessels that lack an intervening capillary bed and are separated by gliotic brain tissue. Some vessels have thick walls with elastic laminae typical of arteries, while others have thin collagenous walls typical of veins. In addition, “arterialization of a vein” can also be seen in which a vessel that lacks an elastic lamina (i.e. a vein) has very thick walls like an artery. Some vessels may have thrombi due to disturbed blood flow through the abnormal vessels, a feature that can be seen on imaging.

For further study on this topic and others related to neuropathology and neuroanatomy, the following books come highly recommended:

Leave a comment