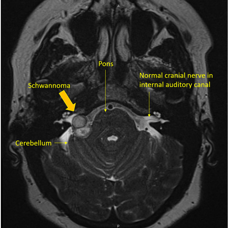
Intracranial schwannomas most commonly arise from the vestibular portion of the Vestibulocochlear nerve (cranial nerve VIII). The central/proximal aspect of the nerve is myelinated by oligodendroglial cells whereas the distal/peripheral aspect is myelinated by Schwann cells. These distally located Schwann cells give rise to vestibular schwannomas that originate in the distal aspect of the nerve, usually within the internal auditory canal where it normally courses. Tumor growth is often restricted until it exits the bony confines of the canal and enters the comparative spaciousness of the cerebellopontine angle, where it is able to form a bulbous mass like the one shown here. Vestibular schwannomas are the most common neoplasms to involve the cerebellopontine angle and should be highly considered in the differential of any extra-axial lesion seen in this location.
Of note, occasionally vestibular schwannomas are referred to as “acoustic neuromas”, which is a double misnomer given the fact that they are schwannomas, not neuromas, and they usually arise from the vestibular part of the eighth cranial nerve. Usage of the term “acoustic neuroma” is strongly discouraged.


Leave a comment