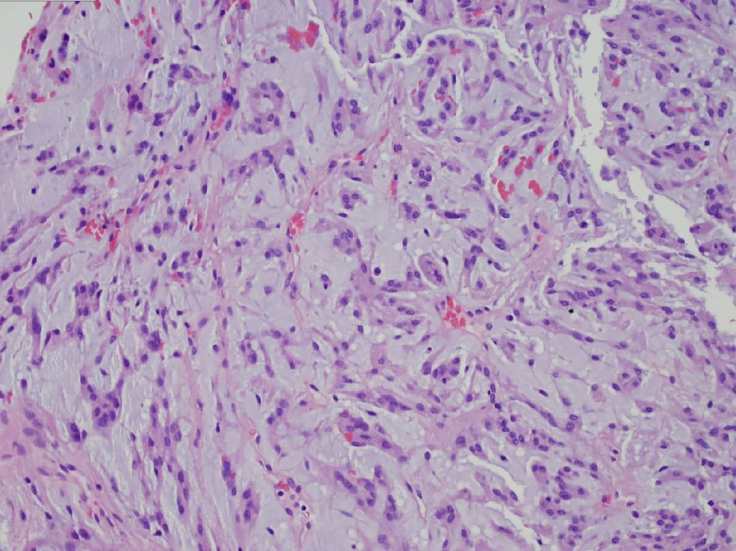
The World Health Organization Classification of Tumors of the CNS officially recognizes 13 different variants of meningioma, most of which are Grade 1 tumors that are potentially curable with complete resection. Chordoid meningioma is a rare subtype that accounts for less than 1% of all intracranial meningiomas. They are commonly composed of epithelioid tumor cells, some of which show cytoplasmic vacuolization, that form chords and trabeculae in a background of pale, basophilic myxoid matrix. Because it is more prone to aggressive behavior and recurrence, chordoid meningiomas are classified as Grade 2 tumors.


Leave a comment