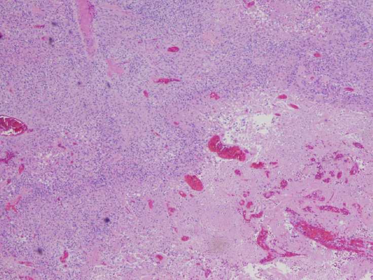
Glioblastomas are malignant astrocytomas that often show pseudopalisading necrosis, characterized by palisading of neoplastic cells along the edges of tumor necrosis. Gioblastomas are the most common malignant primary brain tumor.

A forum dedicated to the expansion in neuropathology knowledge for students and practitioners alike.
Glioblastomas are malignant astrocytomas that often show pseudopalisading necrosis, characterized by palisading of neoplastic cells along the edges of tumor necrosis. Gioblastomas are the most common malignant primary brain tumor.

Leave a comment