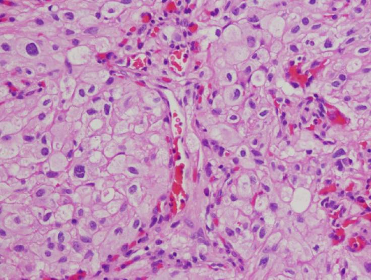
Hemangioblastoma is highly vascular tumor with neoplastic stromal/interstitial cells that have a variably clear cell appearance due to their lipid and glycogen cytoplasmic contents. Hemangioblastomas can be found in patients with von Hippel Lindau (VHL) syndrome, who also have increased risk of developing renal cell carcinoma (RCC). Immunostains can be used to differentiate the inhibin-positive hemangioblastoma from metastatic clear cell RCC, which is positive for PAX2/PAX8, CD10, and RCC.


Leave a comment