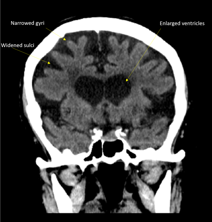
A normal adult loses about 0.2% of brain volume every year after middle age. Compared to young and middle-aged adults, the brains of the elderly have comparatively widened sulci, narrowed gyri, a thin cortical ribbon, and enlarged ventricles due to progressive brain volume loss, which, clinically, may contribute slower processing speed for cognitive tasks and other changes. Microglia-mediated synaptic pruning and other etiologies for decreasing cortical volume in the aged brain have been proposed and are under intense investigation. Regardless of etiology, persons in the oldest old category (85+ years), like the person depicted here, will always have some degree of atrophy, which may be accentuated if concomitant neurodegenerative and/or vascular disease is also present. 

Leave a comment